Material Detail
How we treat primary central nervous system lymphoma
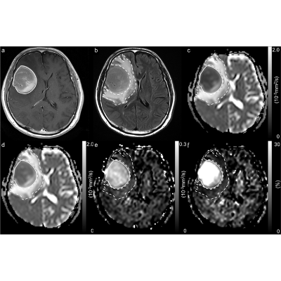
Primary diffuse large B-cell lymphoma (DLBCL) of the central nervous system (CNS) is a rare and aggressive disease, recently acknowledged as a distinct entity by the 2017 World Health Organization classification of hematopoietic and lymphoid tumors. Management of patients with newly diagnosed PCNSL is complex and requires a multidisciplinary approach....
Show MoreQuality
- User Rating
- Comments
- Learning Exercises
- Bookmark Collections
- Course ePortfolios
- Accessibility Info