Material Detail
Bone Fractures
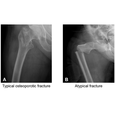
This NCLEX review will discuss bone fractures. As a nursing student, you must be familiar with bone fractures along with how to care for a patient experiencing one.
Quality
-
User Rating
- Comments
- Learning Exercises
- Bookmark Collections
- Course ePortfolios
- Accessibility Info